HEART ATTACK 101 A record of my symptoms, corrective surgery and recovery (Please see the bottom of the page for the most recent update.)
(Return to the main page for more medical topics or to browse 80 other subjects: everything from exotic kaleidoscopes and rocket engines to the weird world of lucid dreaming.)
I'm probably
the last person in the world anyone would expect to have had a heart
attack, much less a serious one. I was only 54, ate a healthy,
low-sodium, low-fat, high-fiber diet for 30 years and worked out
almost every day. I never smoked, drank, or used drugs of any kind.
Up until my attack I could run five miles in an hour and still have
plenty of strength left for a good sprint at the end. I was 6-feet, 1
inches tall and weighed a lean 177 pounds. So what happened? That's
what this page is about, a record of what the attack felt like, how
bad it was, what caused it, how the doctors fixed it, and my
recovery. But first, a disclaimer:
I am not a doctor and have had no medical training. Nothing I state should be taken as a recommendation. My experiences may have no relevance to anyone else's. I am posting this page only as an isolated example of one case so that others might get an idea of what was involved in this particular case of having a heart attack.
The
Physical Attack
My heart attack actually started two days before the main one. My mistake was not in recognizing the symptoms.
I'd just finished a heavy weight training routine and was half way through a jog when I noticed a tightness in the pectoral muscles across my chest. There was also a very mild ache in my right elbow, rather like it had been in a cast for a month and ached to be flexed. Both sensations were very mild and not not the least painful. The idea that I might be a heart attack flashed briefly through my mind but the sensations were so mild and I was in such good shape and so young that I dismissed that as unlikely. Instead it seemed to make more sense that the sensations were simply the result of the weight workout. This was reasonable because I'd pushed the bench presses a little. I finished the run and the sensations quickly faded.
Two days later I was awakened in the middle of the night with a similar tight sensation in my chest but much stronger, though still not what I'd call painful... more of a severe ache. The ache in the right elbow was also back, again much worse. This time I correctly figured it was a heart attack and asked my wife to call 911 and then get me two aspirins. I took them and shortly there after passed out for five minutes. When I came to my wife helped me into the living room at about the same time the ambulance arrived.
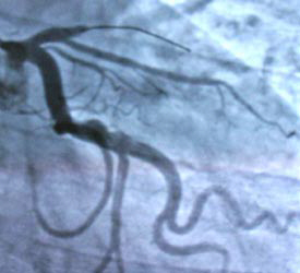
The paramedics quickly deduced that I was having a serious heart attack and took me to the emergency room of the closest hospital. Over the next hour or so while I writhed a little in agony (though to this day my memory was of severe aches, not pain) the doctors discovered I had a complete blockage of the Left Anterior Descending Artery. A blood clot had formed closing it 100 percent.

The thin line at the center top is
the catheter shortly after
it was pushed through the clot
blocking the artery.
The
doctor used an arterial stent, a collapsible wire mesh tube, to
reopen the artery.

After the stent was released it
forced the artery open. Blood flow
immediately flowed down the artery
as it should, as shown in the photo above.
The
stent was fed into the coronary artery from an artery in the back of
my hand. By this time I was unconscious from drugs and don't recall
anything until I woke up in a hospital room the next morning. By that
time I felt great and was discharged before lunch. Twenty-four hours
later I felt 100-percent and it seemed as if I could run five miles
without a problem. I felt so good that it was hard to believe what
had happened.
Upon talking to my cardiologist, I discovered I'd had was is commonly called "A Marathoner's Heart Attack," because it's been known to hit even the fittest of people without warning. What happened is that I had a small deposit of cholesterol near the beginning of the artery. The size was too small to limit blood flow. Three days before the main attack a small opening formed in the one-cell-thick layer of arterial cells that covered the cholesterol. Cholesterol causes blood to clot extremely fast. Small openings quickly clot over and heal just like a cut on the skin. But, in my case the opening was large enough that clotting proceeded at a runaway pace. Within three days it had completely closed off the artery, hence the attack. What I felt two days before the main attack was the early stage of the clot just large enough to restrict a small amount of the flow, only noticeable while actively exercising. Had I correctly guessed what was going on then and gone in right away, a stent could have been inserted before the main attack, avoiding it completely and also avoiding all the serious, permanent damage to my heart.
So, how serious was my heart attack? One way of measuring this is with the cardiac ejection fraction. This is the percent of all the blood the heart can hold that is pushed out in a single "beat." In a normal heart it ranges from 50 to 64 percent percent. After my attack it was measured at 45 percent. My doctor said that 20 years ago the odds of surviving an attack like this were one in three.
For several days following the attack I felt as if nothing had happened. But, shortly after that I began experiencing a very minor tightness in the chest area and a slight shortness of breath when walking more than a block or two. Both sensations were mild but I called my cardiologist anyway. He stated that such mild sensations were a common side effect of having a stent and should pass in two to three weeks. While his words set my mind at ease, the fact that these sensations were so similar to those of the attack, though many times milder, is disconcerting. Whenever I feel them I immediately stop and sit down until they pass. After two weeks from the attack, some days are good and I have none of these sensations. Other days they are with me much of the day.
(Note: My doctor was correct. By the forth week after the attack the tightness had faded so that it's rarely if ever noticeable.)
The major question I've tried to figure out is what caused the attack? Extensive reading suggests that it was a combination of two factors. First, men in my family have a tendency to have heart attacks. That increased my risk. While my diet and conditioning helped mitigate this factor, it couldn't completely eliminate it. Second, I have the type of personality where I'm always putting pressure on myself to always be productive. I'm compelled to squeeze everything I can from every second of every day. This constant emotional stress has physiologically negative effects, one of which is an increased tendency to cause inflammation and tears in arterial linings.
It is now five weeks after the attack and for the most part I feel very good. I can usually walk a mile at two miles an hour and not feel any chest tightness. What I do feel from time to time is a sensation like someone poking my left chest between two ribs with their finger. I do not know if this is related to the attack or not. Mowing the lawn and doing choirs around the house cause no problems, though I seem to run out of gas by the end of the day even when I've taken it fairly easy. My doctor has cleared me to begin longer walks at the 6-week mark and states that with time and work I should eventually be able to get back into aerobic exercising and weight training. I will update that page to reflect my progress, or lack of it.
Emotional
Repercussions
I've noticed that the emotional baggage that goes along with a heart attack can be as devastating as the physical limitations imposed by the reduced heart function. Here are some of the feelings I'm having to deal with because of the attack:
A Sense of Being Cheated
For over 30 years I worked hard to control my eating and exercise almost everyday. I felt as if I'd paid the dues needed to avoid problems like heart attacks. When I had one anyway it felt like I'd been blamed for someone else's mistake. Intellectually I understand that my efforts might have delayed the attack a decade or even helped me to survive what otherwise might have killed me. But emotionally I feel like I got jipped.
I
Felt Stupid
Had I correctly identified what was happening two days earlier I could have avoided putting myself and my family through a ton of grief. Looking back I have to think that part of the reason I dismissed the idea that it might be the beginnings of a heart attack is that if I said something and it wasn't, I'd look foolish. My family and I'll pay for the rest of my life for that poor judgement.
I also feel stupid for not availing myself of more frequent cholesterol tests and cholesterol-lowering drugs.
Embarrassment
I was never the Joe-Atlas type of macho man, but I'd always been durable with great stamina. The heart attack weakened me to the point where I feel like a wimp. It's embarrassing. I also feel embarrassed that my family saw me reduced to the condition of a helpless invalid during the attack. As the patriarch of the family I always felt that I was supposed to be strong and invincible.
Anger
A few days after the attack I was walking back to my car from the grocery store and saw a man my age who must have weighed 400 pounds. He had enormous rolls of fat hanging on him in layers. I confess to feeling rage that I did all this work to be healthy and had an attack yet some people have the genetics that allow them to abuse themselves as much as they want and will never have a heart attack.
Depression
While the other feelings passed with time, I began to realize that I was slipping downward into a constant state of depression. I observed that I went a week and a half without laughing or even smiling once. I'd lost interest in everything I'd been excited about doing before the attack. I quit thinking about long range plans. I dwelt a lot on the fact that I'd never again be able to get into really good physical condition. I could sense a constant sour note to my mood that never left and while I wasn't suicidal, several times I thought that things would have been more satisfactorily resolved had I never woken up.
I talked to my doctor about this and after two written and one oral psychological examinations he diagnosed me as having medium clinical depression. He prescribed 5 milligrams of Lexapro a day to help alleviate the problem.
He explained that depression after a serious heart attack is common and needed to be treated aggressively because studies had proven that when such people were not treated they tended to have second heart attacks more often. The problem was that as a result of the attack and the natural sadness that followed, my seratonin levels (the hormone that makes you feel good) had fallen to a low enough levels that it caused me to be depressed. Because the levels were low I stayed depressed. And because I was depressed the levels remained low. It's a reinforcing cycle that is most easily corrected with seratonin-boosting drugs. Once the levels are back where they should be, six months to a year, I should be able to go off the drug. My particular case was made worse because I was used to getting an almost daily upper from endorfons generated by exercise. After the attack I no longer got these "boosts" and felt low because of that chemical reduction.
As of three weeks after the attack, and two weeks on the Lexapro, I'm beginning to notice a slight improvement in my mood. I was told it would take 3 to 4 weeks before the medication would have it's full effect. Consequently, I can't say if the improvement in mood is the result of the medication or just my feeling better as time goes by and I learn to deal with the attack.
Vulnerability
I've noticed that anything exciting or disturbing (odd sounds in the back yard, loud noises, etc) cause me to tense up more than they used to. I believe it's anxiety that excitement might raise my heart rate to the dangerous point. In fact, this anxiety causes my heart rate to increase more than the original stimulus. The sense of vulnerability is tied into the fact that I no longer feel as durable and capable to deal with life's challenges as I was before the attack.
Much of this sense of vulnerability had faded after two months.
Hypochondria
(?)
I put a "?" mark after this title because I'm not sure if it is all in my head or real. The fact is that I seem more aware of the many small aches and pains in the chest area that may be either perfectly normal or reflections of the attack: a slight muscluar tightness, a brief sense of dizziness, or slight shortness of breath. Are these normal sensations that went unnoticed before the attack, or actual side effects of the attack? Frankly I have no answer to this. What I'm doing for the moment is following the lead of my body. If something doesn't feel right, I stop and sit down until things settle out. Otherwise I act and behave as I did before.
A
Sense of Being
in Turmoil
We all have daily and weekly schedules that keep our lives organized. A heart attack disrupts that pattern of living for several weeks, to months, to the rest of our lives. In my case it was eight weeks. During this time nothing seemed settled. I felt adrift, the result of having had my schedule turned upside down. By the eighth week I began working out again and following a living pattern close to what it was before the attack and my sense of being in constant turmoil faded.
Eating
Junk Food
Eating junk food isn't as much fun as it used to be.
Before the attack I figured unhealthy food might not be good for my. After the attack I had personal proof that it isn't and this takes some of the pleasure away from scarfing down the occasional double bacon cheeseburger.
I've also noticed that a heavy meal (two pieces of pizza or something similar) causes a heaviness in my chest area. I'm also more sensative to sweets, they appear to cause my heart to beat faster. I don't know if these are real sensations or imagined. It may also be that I experienced these same feelings before but never noticed them.
Medications
I was prescribed the following medications:
Plavix - 75 milligrams once a day for 6 months - reduces clotting around the stent
Aspirin - 325 milligrams once a day for 6 months - reduces clotting around the stent
Lopressor - 25 milligrams twice a day - lowers blood pressure, limits pulse to 100 or less, prevents irregular heart rhythm
Vasotec - 2.5 milligrams twice a day for 6 months - lowers blood pressure
Crestor - 10 milligrams once a day - reduces LDL (bad cholesterol)
The
only side effects I noticed were an occasional slight nausea in the
throat (a sensation that faded completely by the third week) and
minor constipation (even though I eat a high-fiber diet (60 gams per
day) and drink plenty of water.) This too resolved itself by the end
of the forth week. I suspect that the body takes some time to adjust
to the medication.
One glitch in the prescription was that I was originally prescribed 20 milligrams of Zocor a day. My insurance wouldn't cover it so the pharmacy called the doctor and asked him if an alternative, called Crestor, was acceptable. He said, "Yes." But, what neither took the time to consider was that Crestor is much stronger than Zocor so less is needed. I discovered this on my own and after bringing it to my doctor's attention he agreed it should be reduced to 10 milligrams a day. My lesson learned from this? Doctors have so much to keep track of that they can sometimes overlook things. I need to become knowledgeable enough to protect myself.
Another issue I'm looking into is about the elimination of Plavix and aspirin at the 6 month point. A study out of Holland (http://www.medicenet.com/scrpt/main/art.asp?articlekey=40022) suggests that for people with stents, stopping clot-preventing drugs like aspirin for even a few days can increase the risk of a second heart attack. This information was only reported on 10 September, 2005, and I have not yet found out if it has been confirmed or refuted. I will follow up on this and report what I turn up.
Two weeks after the attack I had a follow-up appointment with my general practice doctor. He decided to reduce the Vasotex to once a day. I followed his direction but admit to some concern. I thought it would be my cardiologist who would write the original prescriptions for my medications and would be in charge of managing them as I recuperated. Actually, the prescriptions were written by a completely different doctor who was doing the hospital rounds the morning after my attack. I only saw him that one time. My general practice doctor was never at the hospital during the attack and the only information he has is second hand through medical reports. So... I have one doctor curing me, a second prescribing me, and a third changed the prescription as he deems necessary. It would seem more reasonable for one doctor to be the sole source for the medicine treatment. I assume the reason such a convoluted system works is that the medications used for most heart attacks are all the same. Which raises yet another worry: sinse each person is unique how good is a prescription system that works by assuming that everyone is the same?
One depressing aspect about the medications is that I need to take them in two different batches, one in the morning and the other at night. They act like a twice-a-day reminder that I'm defective.
Six weeks after the attack I discovered a new problem with the medications. Like any activity that is done repeatedly, like locking a car door when you get out, it becomes easy to do it and five minutes later foget whether you did it or not. With medication this creates the problem of deciding wether it's better to take it again , and risk over-dosing, or skip it and risk being under-medicated. After tryng several different schemes to keep things straight, the best system I found was to tape a piece of paper on the inside of the cabnet door where the medications are kept. Then, everytime I take them I place a check mark, two checks for each day.
What's
With the Pounding Heart?
After the attack I noticed that from time to time my heart would start pounding very hard, hard enough so that if it happened at night it would keep me awake. The odd thing was that the heart wasn't beating any faster, just harder.
My cardiologist explained that this is common 1/2 to 1 hour after meal because the heart tries to pump extra blood to aid digestion. Because the lopressor tries to keep the heart rate down, the heart responds by speeding up each contraction. It's like the difference between a weight lifter pressing a weight or jerking it.
I've
learned that meals high in simple starches or sugar tend to make
this pounding worse, so I avoid them. This is particularly important
at night because the pounding can be so loud that it keeps me awake.
Questions
and Answers
Here are some random questions and how my cardiologist answered them:
When
is it safe to start driving? Immediately.
If I feel good enough to walk a block it's safe for me to drive.
What does an angina pain feel like? A sharp burning in the chest.
Will I ever be able to do aerobic exercise? Yes.
What changes is my heart going through? For the 4 - 6 weeks following the attack, the areas of the heart where muscle cells died is weak and if blood pressure is too high those damaged areas can stretch out of shape, just like a balloon will stretch from being over inflated. This is why blood pressure limiting drugs are prescribed. This "stretching" is called cardiac remodeling. If it happens it's not good for the heart because it creates dead zones in the flow through the heart.
If I have a second attack, should I take two aspirins? No, two aspirins on top of the blood thinners I'm currently taking would be too much.
Are there any problems switching between Zocor or Crestor? No, as long as the prescription strength is adjusted.
Will my heart get stronger? It can, with exercise and patience. However, in my case this is going to be a tricky question to deal with since I am participating in an experimental cardiac stem cell program called THE REVITALIZE STUDY, which may have a profound impact on my recovery. Please click on the link for more information about this program.
What does my liver function test of 67 mean? Some of the heart attack medications put the liver under strain, with the result that it can become irritated and inflamed. The liver function test, a blood test, is a measure of how much it has become inflamed. Normal test values are from 30 to 65. Typically, doctors don't become concerned unless the test comes back in the 100-150 range.
If lopressor limits my heart rate to 100 or less, what happens if I exercise at a rate that would normally require a heart rate of 120? The heart will beat harder with each beat to attempt to pump the volume of blood required.
Final
Words
That's it as of five weeks after my heart attack. I'll be posting updates on my progress every month so please check back from time to time to see how things are going.
Two-month
Update:
I've started working out every day again, so far just walking on a treadmill. I discovered that I can walk at 3.8 mph on a 1.5-percent incline for over five miles (80 minutes) without feeling any chest discomfort. My heart rate is constant at 100 beats per minute. This surprises me because this is that same as before the attack. I would have expected to experience more of a limitation. I'm slowly increasing the intensity and duration to find my limit and to discover what it feels like to reach it.
One day after writing the above I extended the walk to 7 miles. Again, everything felt great. Then two hours afterward I began feeling achy all over (not muscle fatigue - more like the body ache from a flu), slightly nauseous, extremely tired, and occasionally light headed. I was so uncomfortable I thought about going into the emergency room. I decided not to and instead went to bed for 12 hours. (A doctor told me later that I should have, that once someone's had a heart attack they should always have any concerning symptoms checked out right away.) I couldn't sleep much and the following morning decided to go into urgent care. They ran me through a number of tests and determined that I had not induced another heart attack. Rather, even though I increased the intensity and duration of my workouts slowly I hadn't done so slowly enough and the accumulated fatigue built up to a point where it completely incapacitated me. It took a full three days to completely recover from this incident.
What this taught me is that how I feel during a workout may not reflect how it's affecting me. There can be delayed effects. Also, I asked one doctor how I could tell if I was working out too hard. He said that I could tell I was at my limit because I'd experience shortness of breath. My experience suggests that at least in my case this isn't a reliable guideline. At no time during my walk did I experience shortness of breath.
I mentioned this during my next visit with my doctor and he explained that there are two sides to exercise related fatigue. The first is when the intensity of the exercise is higher than the heart can supply oxygen to the muscles to support. This results in gasping for breath. The second is caused by the slow buildup of waste products in the muscle tissues. The sensation from this is the temporary muscle soreness felt long after the exercise session. My event was an extreme case of the second type, probably exacerbated by low blood sugar. He said that my slow recovery was the result of my getting out of shape over the two months since the attack and the fact that my weakened heart isn't as good at flushing away the built up toxins as it was prior to the attack. His recommendation was that in time I can build back up to good condition but that I have to do so much slower than I was used to. Instead of spending a week at each level he told me to stay there for two to four weeks.
Four-month
update:
NEW!!! Boomerang effect! Immediately after the heart attack I vowed to be the best surviver ever. I was going to trim back down from 177 to 163 pounds, my ideal weight. I was going to work out harder than ever. I was going to eat better and start taking vitamins. Yeah, right.
That lasted until I hit the three-month mark then something snapped. In an almost defiant burst of self destruction I lost almost complete control of my eating and pushed working out to a low priority. In 6 weeks my weight jumped up to 185, and most of that from eating as much as a half a pound of chocolate a day. I was completely out of control and as of the beginning of the fourth month have yet to get completely back in control.
I have no explanation for this suicidal behavior. I'm not depressed in fact I'm feeling better than I have in a long time (a side effect of eating so much chocolate no doubt.) Granted, this happened of the Christmas season which is always a tough time to control one's eating, but even that doesn't explain it all. I think two things are conspiring against me.
First, although I walk 3-5 miles a day, that never gets my heart rate up into the aerobic range. Consequently I believe my metabolism has slowed down. Second, I think that somewhere deep down in my unconsciousness I'm thinking, "Hey, I ate well and worked out for all those years and still had a heart attack so I might as well give up and enjoy myself."
I am trying to reverse this. I've gotten back into the habit of working out and have increased the intensity of it so that should help burn of a few calories. I'm still working on cutting out the snacks, but not having much luck. Every night and morning I vow to do better, but then sometime during the day find myself with my nose stuck in the pantry as if I couldn't care less. I think the bottom line is that snacking is easy, fun, tastes good, and provides immediate gratification. Limiting what I eat isn't much fun, leaves me hungry, and instead of immediate gratification I have to solace myself with the rather meager satisfaction that if I keep this deprivation up for 6 months I'll get back in shape. Writing it down makes it sound like a very uneven comparison.
One good thing that happened is that I've working my way back up to my full work out routine (work out 6 days a week, three times 1 1/2 hours of weight lifting followed by a 3-mile walk and 3 days a week walking 5 miles.) Not only that, but I noticed that when I recently increased my weights I felt a surge of satisfaction. I think it was from the realization that in spite of the heart attack I can still make progress toward improving myself physically.
Seven Years
Later:
I'm now 61 and happy to report that I'm still in excellent health. I've put on some weight (up to 194 pounds... ouch!) but that's from eating too much and not working out as much as I used to. Having said that, I'm still able to work out with weights and put in five miles walking on a treadmill at a 10-degree incline with absolutely no chest pain at all. Other than the expected problems of getting older, I feel no different than I did before the attack.
Return to the main
page
for more medical topics or to browse 80 other subjects: everything
from kites and rocket engines to the weird world of lucid dreaming.